See What Our Patients Say About Us
Our Patient Results


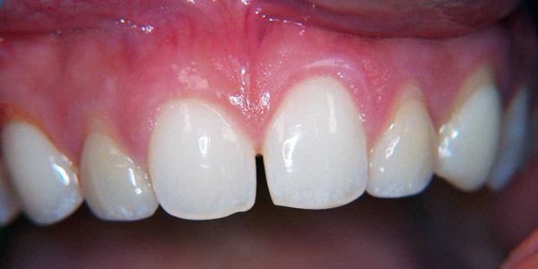
NOTE*: For many cosmetic patients, veneers are for aesthetic purposes and are placed without tooth contouring. Temporary teeth are used to cover the contoured teeth while the professional dental technicians create the permanent porcelain veneers. The process of creating the final veneers involves X-rays, molds, and a highly trained dental technician who creates custom veneers for each patient.
Our Latest Dental Patient Testimonials
Here's what patients have had to say about their experiences with the team at our dental office in Nashville, TN:
"Friendly and helpful office staff. Great hygienist and Dr. Newman is personable and knowledgeable!. Our entire family visits this office for our dental needs are always impressed with all aspects of the office. Also, when recently facing an uncomfortable dental issue (broken tooth), I felt everyone in the office went over and beyond the call of duty to make me feel relaxed and pain-free.
Thank you!"
- Kim
"Dr. Newman is a fantastic dentist. After all of the negative experiences I've had with dentists in the area, it is refreshing to know that there are still honest good people out there who aren't trying to make a quick buck. They would rather have you as a long term patient and make you happy, and that makes me a customer for life. "
"Friendly staff, relaxing environment, and minimal waiting. I have known Clint for years but had been going to another dentist for years. I recently switched because he was charging less. I am glad I did."
"Dr Newman and his staff are top notch! I have been struggling with all these non caring short staffed dentists offices all around Nashville, and was excited to get an appointment as quickly as I was needing one. I have referred 6 people already, 4 who have already went and had the same excellent experience."

